新華網長春9月17日電(記者趙丹丹、姜明明)近日,在吉林大學第二醫院康復醫學中心,因公受傷的交警劉博奇正在助步器的輔助下練習行走。令人難以想象的是,他曾是一位被判定為終生癱瘓在床的高位脊髓損傷患者。
幾個月前,吉林大學第二醫院吳敏飛教授團隊為其成功完成世界領先的脊髓接口手術,實現了其四肢運動功能從無到有的部分恢復。
據了解,2024年12月,吉林省扶余市交警劉博奇在執行任務過程中遭遇車禍造成頸椎骨折脫位。吳敏飛搶在最短時間內為其實施了神經減壓內固定手術,但由于其脊髓損傷嚴重,術后雖脫離生命危險,但四肢完全癱瘓的情況依舊沒有任何改善。
劉博奇的病情讓整個家庭都陷入無助和絕望之中,經過多次溝通,吳敏飛向他介紹了國際上先進的脊髓接口技術,這項結合了人工智能的全新技術為劉博奇一家帶來了曙光。
今年年初,吳敏飛團隊開創性地將接口裝置精準植入劉博奇頸脊髓損傷節段,并在術后依據其病情特點,為其制定了分階段的個性化神經調控和康復方案。

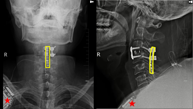
上圖:植入術后X線顯示,黃色方框為電極位置,星號為皮下脈沖發射器位置
吳敏飛介紹,團隊在此病例發生前,已經對脊髓接口的臨床應用進行了深入的研究和驗證,此次手術雖然準備周密,但是過程中依舊充滿挑戰。
令人欣喜的是,劉博奇在植入脊髓接口裝置并按計劃進行調控6小時以后,逐漸出現了手指和足趾的輕微自主收縮活動。經過隨后2周持續優化調控方案,劉博奇的四肢肌力有了更明顯的恢復,損傷導致的感覺障礙平面也逐漸下降到了膝關節。手術三個月后,劉博奇坐在輪椅上就可以自己緩慢抬腿。
為了實現劉博奇重新站立走路的夢想,吳敏飛團隊為其設計了“脊髓接口+外骨骼機器人”協同康復方案。劉博奇在外骨骼機器人的協助下,終于邁出受傷以后的第一步。
隨著康復方案的不斷優化,劉博奇本已萎縮的下肢肌肉逐漸恢復,步態協調性也得到良好改善。如今,他已能在助步器輔助下獨立行走。

上圖:吳敏飛教授正在手術
脊髓損傷治療技術的突破性提升,具有重要意義。目前,吳敏飛已將此技術應用于多例患者,均取得較好療效?!拔磥頃懈嗟陌c瘓患者迎來站起來、走下去的希望?!眳敲麸w說。

